PsorX-LabDisk

The first gene expression-based test for the differential diagnosis of psoriasis and eczema. When histology reaches its limits, PsorX-LabDisk adds an additional molecular layer. Skin diseases are now understood at a molecular level, not just observed!

Book a demo

Objective molecular diagnostics for challenging inflammatory skin disease cases

Beyond morphology. Turning uncertainty into clarity and insight into action.

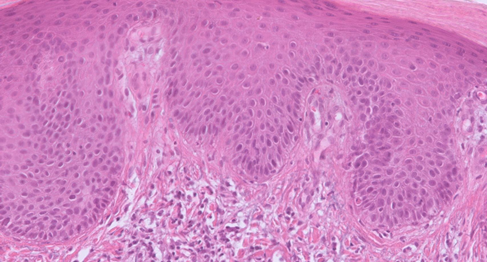
Psoriasis and eczema are among the most common inflammatory skin diseases, yet the differential diagnosis of psoriasis versus eczema remains challenging in routine dermatopathology. Overlapping clinical features and histopathological uncertainty often lead to unclear results

This diagnostic uncertainty can directly influence treatment decisions. Modern targeted therapies, including biologics (e.g. Ustekinumab, Tralokinumab, Secukinumab, Dupilumab, Borodalumab, Guselkumab, Ixekizumab) and small-molecule inhibitors, are increasingly used in precision dermatology. However, incorrect diagnosis of these inflammatory skin diseases may result in untargeted treatment selection or reduced therapeutic response.

PsorX-LabDisk enables analysis from standard FFPE samples based on the gene expression of NOS2 and CCL27, providing an objective molecular layer for the differential diagnosis of psoriasis and eczema. It is designed as a diagnostic support tool for dermatopathology laboratories, integrating seamlessly into existing laboratory workflows. 

Designed for real-world dermatopathology workflows

Your Benefits at a Glance

Simple workflow: Automated RT-qPCR analysis from standard FFPE biopsy samples 

  • Fast turnaround: Results in approximately 2 hours for timely clinical decision-making 
  • High precision: Gene expression-based classification improves diagnostic accuracy in ambiguous dermatopathology cases 
  • Seamless integration: Plug-and-play system for routine laboratory diagnostics 
  • Certified quality: Made in Germany & CE-IVD marked product 

Proven in various studies

A recent study by Schmitt et al. (2026) iunderscores diagnostic challenges and demonstrates that advanced approaches can outperform histology alone.

In a comparison involving 14 dermatopathologists, histopathological assessments showed only low to moderate agreement, especially in unclear cases. In contrast, the PsorX-LabDisk RT-qPCR assay maintained strong sensitivity and specificity, even in difficult cases, and may serve as a helpful molecular tool to improve diagnostic confidence alongside routine histopathology. 

Please read the whole publication here 

More than a test. A new layer of understanding in dermatology.

There is now substantial evidence to support the benefits and necessity of molecular diagnostics, particularly in inflammatory dermatoses and specifically psoriasis:

  1. Misdiagnoses are common: 10–50% of all inflammatory skin diseases are initially misdiagnosed. (Koimbra et al.2015)
  2. Superior Diagnostic Performance: Supports diagnostic accuracy beyond histology alone. PsorX outperforms standard histological assessment of inflammatory dermatoses (Schmitt et al. 2026).
  3. Added Value in Unclear Cases: PsorX Provides added value in 86% of clinically or histologically ambiguous inflammatory dermatoses (Papeleu et al. 2025).
  4. Guidances-System-Therapy: Reflects underlying immune mechanisms relevant for treatment decisions (Fischer et al. 2023). 
  5. Impact on Healthcare-System : Helps reduce diagnostic uncertainty and unnecessary procedures and costs (Bentz et al. 2026).

An era in which skin diseases are understood at a molecular level, not just observed.

Dermagnostix Labor

Do you want to learn more?

Contact our sales team or click the button below!
info@dermagnostix.com